Lịch: Thứ 2 - Thứ 7 - 8:00 - 18:00, Chủ Nhật - 8:00 - 14:00
Lịch: Thứ 2 - Thứ 7 - 8:00 - 18:00, Chủ Nhật - 8:00 - 14:00
Orthodontics | Upper Incisor
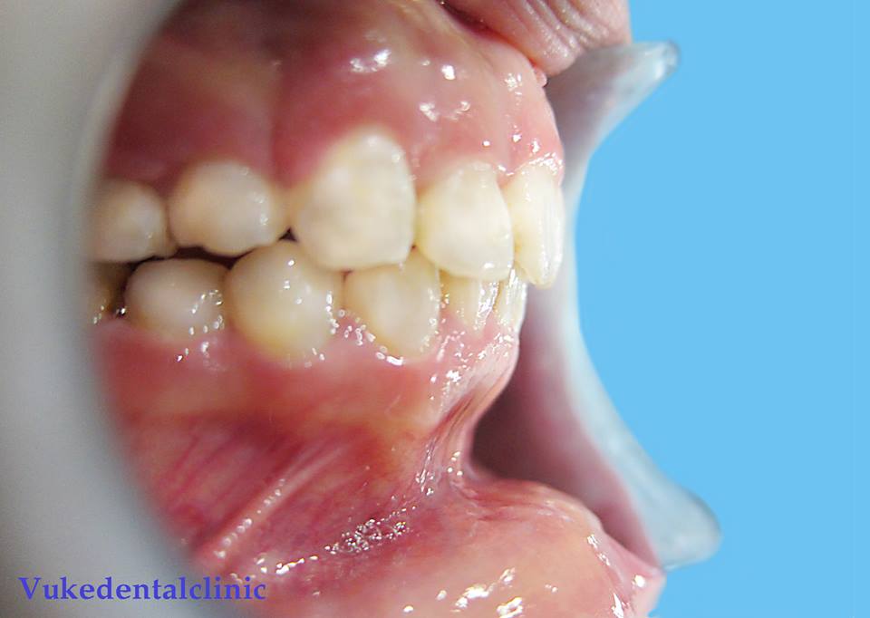
Protruding Upper Incisors
Protrusion of upper incisors, also called "Class II malocclusion", is the result of excessive growth of the upper jaw (maxilla), or the reduced growth of the lower jaw (mandible), or a combination of both.
It is a very frequent malocclusion, and parafunctional habits, ie. thumb sucking or atypical swallowing, are the most common aggravating factors.
Upper incisors protrude and are vulnerable to dental trauma and fracture.
This type of malocclusion can be associated with abnormal breathing habits (called mouth breathing), which predisposes the patient to decay and gingivitis of the anterior teeth.
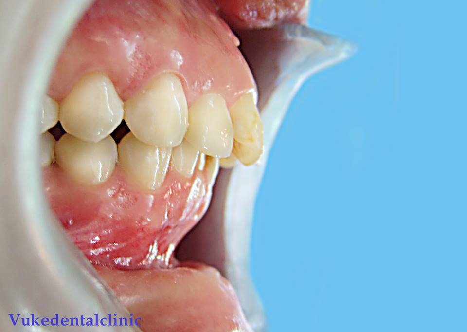
The treatment aims at stimulating mandibular growth, aligning dental arches, and improving breathing.