Lịch: Thứ 2 - Thứ 7 - 8:00 - 18:00, Chủ Nhật - 8:00 - 14:00
Lịch: Thứ 2 - Thứ 7 - 8:00 - 18:00, Chủ Nhật - 8:00 - 14:00
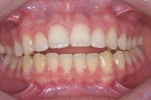
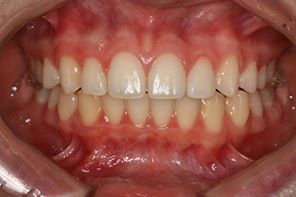
Orthodontics | Open Bite
Open Bite
Essentially, the problem is caused by any action by the patient which puts a strain on the alignment of the teeth, especially when the patient is young. Prominent culprits in this regard are thumb sucking, tongue thrusting and chewing on a pencil or some similar object.
Prolonged and incorrect use of feeding bottles and pacifiers could also contribute to the development of the condition.
Any of the habits discussed above could cause the front teeth to flare out. Since the jaw is still developing, the teeth become misaligned.
Yet another reason for this condition could be a temporomandibular joint disorder (TMJ) where the patient suffers from chronic pain in the jaw and uses his tongue to push the teeth apart so that his jaw can be in a more comfortable position.
Quite often, if you consult a doctor for frequent headaches and sensitive teeth, she will check you out for an open bite and temporomandibular joint disorder as well.
While correcting this condition is relatively straightforward, the correction does not tend to be permanent. This is because straightening the teeth using braces enlarges the socket in the jaw.
As soon as the restraint offered by the brace is removed, the tongue gets back to work and pushes the teeth to their original position. It is quite clear, then, that the problem is best corrected early.
The best cure is to prevent the open bite from occurring in the first place. You can gently eliminate thumb sucking and reduce the dependence on the pacifier. If the treatment is delayed, the patient may end up with poor speech and an unattractive smile.