Lịch: Thứ 2 - Thứ 7 - 8:00 - 18:00, Chủ Nhật - 8:00 - 14:00
Lịch: Thứ 2 - Thứ 7 - 8:00 - 18:00, Chủ Nhật - 8:00 - 14:00
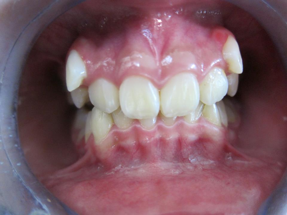
Orthodontics | Crowding
Crowding
Crowding is caused by several reasons:
Crowding is treated with fixed orthodontic appliances. Type of treatment depends upon the severity of each individual case.
Case : Severe crowding treated with fixed orthodontic appliances. Well aligned teeth are easier to clean, and are less vulnerable to decay and gum disease.