Lịch: Thứ 2 - Thứ 7 - 8:00 - 18:00, Chủ Nhật - 8:00 - 14:00
Lịch: Thứ 2 - Thứ 7 - 8:00 - 18:00, Chủ Nhật - 8:00 - 14:00
Orthodontics | Cross Bite
Cross Bite
Lateral cross bite is caused by an insufficient development of the palate. The palate is narrow and "V" shaped. Patients may have difficulty in breathing through the nose, and tend to breathe through the mouth. This condition is called "mouth breathing", and predisposes the patients to decay and gingivitis of the anterior teeth.
The narrow palate forces the mandible to shift towards one side during the closure of the mouth, and leads to asymmetrical growth of the facial bones.
Treatment is performed with a palatal expander. This improves nasal breathing and corrects the growth of the facial bones.
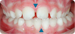
Case: The lower midline is deviated to left because of mandibular shift (see the blue triangles). Lower jaw is forced to grow asymmetrically, to the left.
After palatal expansion, the mandible is centred and the upper and lower midlines are aligned (see blue triangles). The mandible can now grow normally.