Lịch: Thứ 2 - Thứ 7 - 8:00 - 18:00, Chủ Nhật - 8:00 - 14:00
Lịch: Thứ 2 - Thứ 7 - 8:00 - 18:00, Chủ Nhật - 8:00 - 14:00
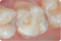
Asthetic | Inlays
Inlays
Inlays can be made of ceramic or composite (a reinforced resin). Inlays are used to restore caries or to replace dark fillings. They do not contain metals. If tooth cavities are small, a composite filling can be made directly by the dentist.
However, if cavities are large, direct composite fillings have a tendency to shrink during hardening (polymerising) of the material and then detach themselves from the cavity walls.
For larger cavities, inlays offer a better sealing of the margins. Inlays are fabricated on a stone model in the laboratory and then cemented into the tooth. Shrinkage does not occur after cementation, which provides a marked sealing of margins and a longer restorative life.
Case: Dark filling (amalgam), replaced by a composite Inlay