Lịch: Thứ 2 - Thứ 7 - 8:00 - 18:00, Chủ Nhật - 8:00 - 14:00

Asthetic | Implants

Implants


Implants are used to replace missing teeth, producing aesthetic results in the anterior region.

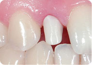
Case: Missing lateral incisor due to trauma. An implant was placed and a zirconia abutment was inserted. Restoration completed with a metal free all ceramic crown (alumina core).

Before

 

After